Koronavirusun insan beynindəki fəsadları aşkarlanıb
Sağlamlıq
- 09 iyul, 2020
- 11:09
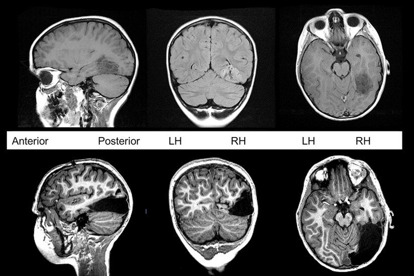
London Universiteti Kollecinin (UCL) tədqiqatçıları COVID-19 üzündən beyin xəstəliklərinin artacağı qənaətinə gəliblər.
“Report” “Brain”ə istinadən xəbər verir ki, məsələyə dair elmi məqalədə koronavirus xəstəliyinin 16-85 yaş arasındakı 43 nəfərdə necə keçdiyi araşdırılıb.
Araşdırma nəticəsində həmin xəstələrin 10 nəfərində beyinin fəaliyyəti müvəqqəti pozulub, 12 nəfərində beyin iltihabı yaranıb. Bununla yanaşı, insult və s. ciddi fəsadlar da özünü göstərib.
Son xəbərlər
00:46
Ronaldu Trampa zəng edib
Digər ölkələr00:38
Merts: İsrail İordan çayının Qərb sahilinin ilhaqından imtina etməlidir
Digər ölkələr00:31
Makron Rusiyanın son hücumlarından sonra Ukraynaya dəstəyini ifadə edib
Digər ölkələr00:16
İranın XİN başçısı danışıqlar barədə: Top ABŞ-dədir
Region00:10
Yevlaxda baş verən yanğında ölü sayı artıb
Hadisə23:49
Almaniya Kansleri Merts ilk dəfə İsrailə rəsmi səfər edib
Digər ölkələr23:34
İndoneziyada daşqınlar nəticəsində ölənlərin sayı 900 nəfəri keçib
Digər ölkələr23:20
Dövlət Departamenti: Aİ Rusiyadan qaz alışına Ukraynaya yardımdan çox vəsait ayırıb
Digər ölkələr23:01