Researchers say two vitamins provoke cancer

Health
  • 04 September, 2023
  • 05:39
Researchers say two vitamins provoke cancer

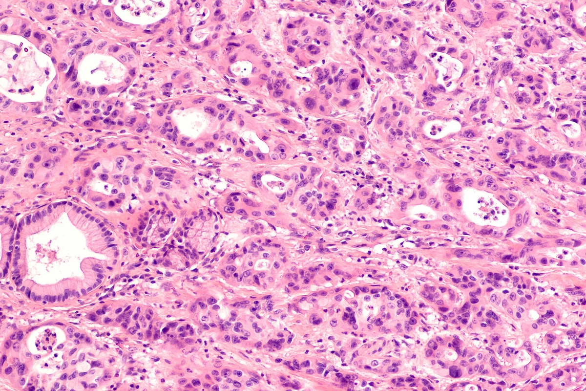
Scientists from Karolinska University (Sweden) found that an excess of vitamins C and E can trigger the development of lung cancer, Report informs via The Journal of Clinical Investigation (JCI).

The authors of the research studied the effect of antioxidants on rodents. Antioxidants are molecules that fight oxidative processes in the body. Vitamins C and E contain a large amount of these substances.

As it turned out, their high content provokes the growth of new arteries, including in tumors that need a constant blood supply. This, in turn, feeds the cancerous growths with oxygen-rich blood, and thus nurtures them.

The researchers conducted several more experiments with mice, and it confirmed the results. The growth rate of tumors is directly proportional to the increase in doses of antioxidants. According to experts, this indicates the danger of excessive consumption of vitamins.