Выявлен новый тип шизофрении - ФОТО
Это интересно
- 28 февраля, 2020
- 23:17
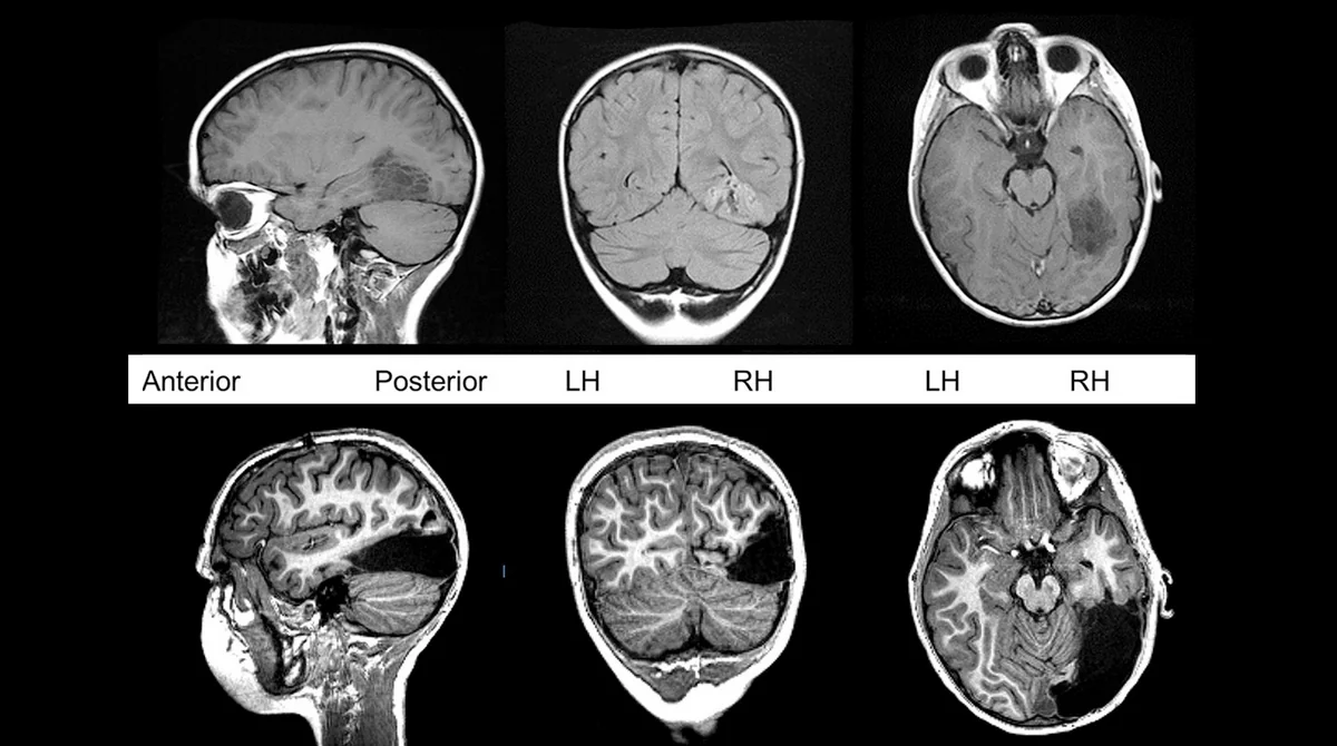
Американские исследователи обнаружили новый тип шизофрении.
Как передает Report, об этом сообщает Medical Xpress.
Так, у человека с обычной шизофренией наблюдается меньше мозговой ткани, чем у здорового человека. Новый же тип не влияет на объемы серого вещества, они остаются схожими с нормальным мозгом.
Заключение было сделано на основе анализа мозга у 300 пациентов с данным заболеванием.
Профессор радиологии Уоллеса Т. Миллера в Медицинской школе Перельмана в Университете Пенсильвании Кристос Даватцикос заявил, что теперь врачи будут разделять диагноз "шизофрения" на "подтип" и "патологический паттерн" заболевания.
Отмечается, что данное открытие позволит более качественно подходить к лечению психических расстройств.
Последние новости
15:47
Видео
AnewZ подготовил документальный фильм о Ливии после свержения Каддафи
Медиа15:47
ММ утвердил в I чтении применение некоторых налоговых льгот в связи с WUF13
Внутренняя политика15:44
Apple в январе потеряла 8% доли на рынке мобильных устройств Азербайджана
ИКТ15:42
Книга рекордов Гиннесса обозначила первого в мире массово производимого робота
ИКТ15:37
СМИ: Иран и США возобновляют переговоры по ядерной сделке
Другие страны15:36
ММ ратифицировал Конвенцию о безопасности труда
Милли Меджлис15:31
ММ одобрил продление приостановки проверок в сфере предпринимательства еще на год
Милли Меджлис15:17
Глава индийского генштаба и министр обороны Армении обсудили развитие сотрудничества
В регионе15:15